
Why Do the Surrounding Teeth Hurt After a Tooth Extraction?
If you’ve recently had a tooth removed and noticed that the surrounding teeth hurt after
Home » Blog

If you’ve recently had a tooth removed and noticed that the surrounding teeth hurt after

Food For Dental Health – 12 Best Foods for Your Teeth Strong, healthy teeth aren’t

If you’ve ever had a lingering toothache and noticed a headache building at the same

It can be confusing – and frustrating – to feel discomfort in two places that

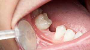
Tooth enamel might be the hardest substance in the body, but it’s not invincible. Everyday

The Journey of a Tooth Abscess: Key Stages and Symptoms to Watch For A tooth

Missing teeth are more common than many people realise. Whether a tooth was removed years

Visiting the dentist for the first time is an important milestone in your child’s development.
Australian residents are increasingly travelling to overseas countries to have dental treatment done. This is
In 2017 it is estimated that 134 000 people in Australia will be diagnosed with
What dental problems are common for pregnant mothers? Each woman and each pregnancy is different.
How does fluoride prevent tooth decay? Fluoride (F-) helps by inhibiting demineralisation and promoting remineralisation
Opening Hours:
FIND US ON:
WHERE TO FIND US
Perth’s local gentle dentist for:
GET IN TOUCH WITH US
Copyright © 2025 · Gentle Dental Centre. All rights reserved.
This website was designed by Online Strategy Co.