Need Help With a Filling That Came Off?
It can be alarming if a filling came off unexpectedly. You might feel a sudden rough edge, experience sensitivity, or even find a piece of filling in your mouth after eating. The good news is that this is more common than you might think, and it’s usually simple to fix.
Even if your filling fell out and you’re not in pain, it’s important to have it checked promptly. A missing filling leaves the tooth vulnerable to further decay and damage, and catching it early can prevent more complex treatment down the track.
Why Do Fillings Fall Out?
Patients often ask, “Do fillings fall out?” and the answer is yes, sometimes they do. Fillings aren’t designed to last forever, and there are a few common reasons a filling might come out:
- Natural wear and tear over time
- New decay forming under or around the filling
- Biting down on something hard or sticky
- Teeth grinding during sleep
- Accidental trauma to the tooth like underlying cracks
Whatever the cause, it’s not a reason to panic. Your dentist can assess the situation and advise on the best way to restore and protect your tooth.
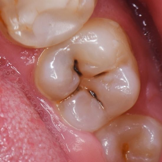
What Happens When a Filling Falls Out?
If a cavity filling fell out, the tooth underneath becomes exposed. Some people feel sudden sensitivity, while others notice no discomfort at all. It’s quite common for a tooth filling to fall out with no pain, but even if it doesn’t hurt, the unprotected area can quickly become a problem if bacteria enter.
Without a proper seal, food and plaque can get trapped in the cavity, increasing the risk of decay or cracks. Over time, the tooth can become more sensitive or painful, and more extensive treatment may be required.
What To Do If a Filling Came Off
If your filling came off, stay calm and follow a few simple steps until you can get to the dentist. Rinse your mouth gently to keep the area clean, and avoid chewing on that side. Try not to touch the area too much with your tongue, as this can irritate the exposed surface.
It can be tempting to try a quick fix at home, but DIY dental filling kits can make things worse by trapping bacteria or damaging the tooth further. The safest option is to book a dental appointment as soon as possible so the tooth can be properly cleaned and restored.
If you’ve lost a crown or a large piece of restoration, place it in a clean container and bring it with you to your appointment.
Treatment for a Lost Filling
When a dental filling falls out, the solution is usually straightforward. Your dentist will have a look, do some simple tests and take a couple of X-rays to check for any cracks or underlying decay. The tooth can be smoothed if it’s sharp or uncomfortable, and then the filling can either be replaced straight away or a temporary restoration placed until further treatment is planned.
If a crown has come loose, it may be able to be recemented or replaced depending on its condition. Acting quickly helps avoid complications and ensures a comfortable, lasting result.
Can You Prevent Fillings From Falling Out?
While you can’t always stop a filling from coming out, good oral habits go a long way. Regular dental check-ups allow your dentist to spot wear or tiny fractures before they become bigger problems. Brushing twice a day, flossing carefully, and avoiding chewing on hard lollies or ice can all help extend the life of your fillings.
If you grind your teeth at night, a custom mouthguard can protect both your fillings and your natural teeth from excess pressure.
When to See a Dentist
If a filling fell out, it’s best to have it checked as soon as you can, even if you don’t feel pain. If you do have discomfort, sharp edges, or notice food packing into the space, don’t wait. The sooner the area is restored, the easier and more comfortable the treatment will be.
Book an Appointment for Lost Fillings or Crowns in Wanneroo
If your filling came off or a crown has come loose, our experienced team at Gentle Dental Centre in Wanneroo can help. We’ll restore your tooth gently and effectively, protecting your smile for the long term.
Book an appointment today or learn more about our Restorative Dentistry and Emergency Dentist services.
Filling Came Off FAQ
What should I do if a filling came off?
If a filling came off, rinse your mouth gently to keep the area clean, avoid chewing on that side, and book a dental appointment as soon as possible. Try not to touch the tooth too much with your tongue, and if a crown or large restoration came loose, keep it in a clean container to bring with you to the dentist.
Is it an emergency if a filling fell out with no pain?
A tooth filling falling out with no pain may not feel urgent, but it still needs prompt attention. Even without discomfort, the exposed area can trap food and bacteria, increasing the risk of decay or cracks. It’s best to have the tooth examined as soon as possible to prevent further damage.
Why do fillings fall out?
Fillings can fall out for several reasons, including everyday wear and tear, new decay forming under the filling, teeth grinding, or biting something hard or sticky. Sometimes it happens simply because the filling has reached the end of its lifespan.
Can I use a DIY dental filling at home?
It’s best not to use DIY dental filling kits at all. These products can trap bacteria inside the tooth or damage the structure further, making treatment more complicated later. If a filling has come out, the safest option is to see a dentist promptly.
How can I stop fillings from falling out?
Regular dental check-ups, good oral hygiene, and avoiding chewing on hard objects like ice can help extend the life of your fillings. If you grind your teeth at night, a custom mouthguard can protect your teeth and restorations.